मुंह के छाले को ठीक करे इन घरेलू नुस्खों से , जरूर पड़े और लाभ उठाएं :-
मुंह के छाले के कारण (Due to mouth ulcers) :-
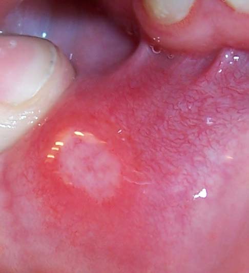
मुंह के छाले एक छोटा सतही छाले होता है जो आपके मुंह के किसी भी मुलायम ऊतक, मुंह के ऊपर या निचली सतह, होंठ और गाल पर या आपके मसूड़ों के तल पर दिखाई दे सकता है. कुछ स्थिति में, आप अपने पेट के लिए अग्रणी ट्यूब एसोफैगस पर छाले विकसित कर सकते हैं। मुंह के छाले आमतौर पर हानिरहित होते हैं और लगभग दो सप्ताह तक रहते हैं। हालांकि, गंभीर मामलों में, वे मुंह के कैंसर का संकेत भी हो सकते हैं। यदि आपको ऐसे छालो का अनुभव होता है, जो डायमीटर में आधे इंच से अधिक होता है या चकत्ते, जोड़ो के दर्द, दस्त या बुखार होता हैं, तो आपको डॉक्टर से परामर्श लेना चाहिए। यदि आप अपनी जीभ, गाल या होंठ काटते हैं, तंबाकू चबाते हैं या अपने दांतों को बहुत कठोर ब्रश करते हैं या बहुत कठिन ब्रिसल्ड टूथ ब्रश का उपयोग करते हैं, तो भी मुंह के छाले हो सकते है। यदि आपके पास ब्रेसिज़, रिटेनर या दांत हैं, तो वे भी छाले का कारण हो सकते हैं। मामूली मुंह के छाले स्वतः ही ठीक हो जाते हैं, लेकिन गंभीर छाले को इलाज करने की आवश्यकता होती है।
रासायनिक क्रिया के कारण (Due to chemical action)
ऐस्पिरिन या अल्कोहल जैसे रसायन, जो मुंह के श्लेषक पर रखे जाते हैं या उसके संपर्क में आते हैं, ऊतकों को परिगलित कर सकते हैं और एक छाले-युक्त सतह का निर्माण कर सकते हैं। सोडियम लॉरिल सल्फेट (SLS), अधिकांश टूथपेस्टों का एक मुख्य अंतर्घटक, मुंह के छालों की बढ़ती हुई घटनाओं में शामिल रहा है।
मुँह में छाले होने पर सावधानियां (Precautions when mouth ulcers) :-
मुंह के घाव आमतौर पर स्वाभाविक रूप से ठीक हो जाते हैं, लेकिन इससे आपको बहुत परेशानी या दर्द का अनुभव हो सकता हैं। छाले का सरल घरेलू उपचार से इलाज किया जा सकता है। सबसे पहले, आपको गर्म, मसालेदार, नमकीन, साइट्रस आधारित और उच्च चीनी खाद्य पदार्थों से बचना चाहिए। ऐसे खाद्य पदार्थ आपके छालों को और गंभीर बना सकते हैं।
छाले को निचोड़ने या छूने से बचें ! बर्फ, बर्फ के पॉप और शरबत जैसे ठंडे खाद्य पदार्थ के सेवन से जलन से राहत मिल सकती है।
साधारण छालों में घरेलू नुस्खे आजमा सकते हैं (Can try home remedies in simple barks) :-
- नीम के पत्ते उबाल लें। इसमें लहसुन के रस की चार-पांच बूंद डालकर इससे गरारे करने चाहिए।
- छाछ से गरारे करने पर भी मुंह के छाले ठीक होते हैं।
- चमेली और अमरूद के 5-5 पत्ते लेकर थोड़ी देर तक मुंह में धीरे-धीरे चबाएं। थोड़ी देर बाद पानी बाहर निकाल दें। ऐसा करने से भी मुंह के छाले ठीक हो जाते हैं।
- मौलसरी के काढ़े में एक चुटकी फुलाई हुई फिटकरी डालकर मिला लें। इस मिश्रण के कुल्ले करने से मुंह के छालों में आराम आता है।
- गूलर की छाल में फिटकरी डालकर कुल्ले करने चाहिए।
- बबूल की छाल के काढ़े से कुल्ला करने से मुंह के छाले ठीक होते हैं।
- मुलहठी के गरारे भी रोग में फायदा पहुंचाते हैं।
- मुंह में लौंग का तेल लगाना चाहिए।
- सुहागे को तवे पर फुला कर व पीसकर थोड़े से शहद में मिला लें। इस मिश्रण को छालों पर दिन में तीन-चार बार लगाएं। मुंह के छाले ठीक हो जाएंगे।
मुंह में छाले होना बहुत आम समस्या है, लेकिन ये छोटी सी समस्या भी खाने-पीने व बोलने में बड़ी तकलीफ दे जाती है। मुंह के छालों के दर्द से राहत पाने के लिए हमने जो आपको बताया हैं ओ आजमा सकते है लेकिन
यदि आपकी हालत इन उपचारों में सुधार नहीं करती है, तो डॉक्टर से परामर्श लें। डॉक्टर एसिटामिनोफेन और अन्य एंटी-इंफ्लेमेटरी दवाओं या जेल जैसे काउंटर दवाएं निर्धारित कर सकता है। अगर डॉक्टर को मुंह के कैंसर होने का संदेह है, तो स्थिति सुनिश्चित करने के लिए बायोप्सी लिया जाएगा। आपको इलाज के लिए सर्जरी और कीमोथेरेपी के लिए जाना पड़ सकता है।


कोई टिप्पणी नहीं